Hep C Discussion Forum

Members Login
Username 
 
Password 
    Remember Me  
Chatbox
Please log in to join the chat!
Post Info TOPIC: What is cirrhosis?


Senior Member

Status: Offline
Posts: 305
Date:
RE: What is cirrhosis?
Permalink  
 


Hi Malcolm,

Thanks for the explanation. I have a CD which has almost 1000 images.  I just grabbed one that seemed like it would be a good shot of the liver.  Yes, I was in that machine for a while and hope to NOT have to do it again.

Thanks for your help - again!!!

Caryn



__________________

1a, CT. Incivek triple 1/2013, vl 810 @ 2 weeks, 610 @ 4 weeks, 3000 @ 8 weeks, tx stopped. 

4/2014 - tx with Sovaldi/Olysio/Riba. VL 39 mil. - VL 230 @ 1 week, VL 40 @ 3 weeks, 5 weeks UND, EOT - UND, EOT @ 4 weeks UND, EOT @ 12 weeks UND!



Guru

Status: Offline
Posts: 3398
Date:
Permalink  
 

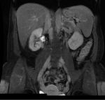
Hi Caryn, What you have posted is a single, coronal , early venous phase T1 weighted scan. You can see the liver, spleen and kidneys. The kidneys look white due to the contrast. Unfortunately, an MR scan produces data that could provide hundreds of images. These are taken in transverse, coronal and sagittal planes. They are also done in T1, T2 and Spinecho sequences. They are also done in noncontrast, arterial, saturation, venous and late venous phases. That is why an MR takes a while, and you would have had to 'hold your breath' for each sequence. MR scans are diagnosed on a computer with several high def. screens. Images are manipulated, 3D images are obtained, and by scrolling through the images of all of the sequences, a diagnosis is made. Sample images are often printed out for the benefit of the referring doctor.  We used to give patients a CD with relevant films.

So essentially, diagnosing an MR is complex, requires lots of computing power and multiple image monitors. A single image means nothing. Sorry.



__________________

Geno 1b, IL28B CT,  x3 prior relapser,  ex-cirrhotic, 75 yo, did 48 weeks with Victrelis/Peg./Riba.  VL 1.28m at start, UNDET. at 8 ,12 ,16 ,24 ,30  and 48 weeks.  EOT 15 Feb 2013 , UNDET. at EOT + 28 weeks. SVR!  Still Undet. at EOT +5 years

Malcolm



Senior Member

Status: Offline
Posts: 305
Date:
Permalink  
 

Okay, thanks. I have an Apple computer, so let me give it a shot.  



__________________

1a, CT. Incivek triple 1/2013, vl 810 @ 2 weeks, 610 @ 4 weeks, 3000 @ 8 weeks, tx stopped. 

4/2014 - tx with Sovaldi/Olysio/Riba. VL 39 mil. - VL 230 @ 1 week, VL 40 @ 3 weeks, 5 weeks UND, EOT - UND, EOT @ 4 weeks UND, EOT @ 12 weeks UND!



Guru

Status: Offline
Posts: 940
Date:
Permalink  
 

Caryn wrote:

I have an MRI image that was done today. I wish I could figure out how to save the image and upload it.  Would anyone be able to comment if I were able to figure this out?  


 Caryn,

Where is the MRI image?  If it is on a web page and you are viewing it,  you can do a "print-screen" operation by hitting the PRTSCN key on your keyboard, then saving as a .jpg file in Microsoft Paint.   From there you can upload the image to this forum.     If you have an Apple computer you do a "printscreen" operation by following these directions:

Command+Shift+3  Saves the screen as a file on the Desktop.    More instructions here:  http://osxdaily.com/2010/05/13/print-screen-mac/




__________________

"hrsetrdr"=Tim

Treatment halted on Aug.8,2012 due to vision problem.  6 month post tx labs

Aug.2013 SVR

Be strong when you are weak, brave when you are scared, and humble when you are victorious.
- Unknown

 

 



Senior Member

Status: Offline
Posts: 305
Date:
Permalink  
 

I have an MRI image that was done today. I wish I could figure out how to save the image and upload it.  Would anyone be able to comment if I were able to figure this out?  



__________________

1a, CT. Incivek triple 1/2013, vl 810 @ 2 weeks, 610 @ 4 weeks, 3000 @ 8 weeks, tx stopped. 

4/2014 - tx with Sovaldi/Olysio/Riba. VL 39 mil. - VL 230 @ 1 week, VL 40 @ 3 weeks, 5 weeks UND, EOT - UND, EOT @ 4 weeks UND, EOT @ 12 weeks UND!



Senior Member

Status: Offline
Posts: 305
Date:
Permalink  
 

Alright, I hope this is a good shot.  From the last test which was a fibroscan, I was told probably between stage 2-3 fibrosis. This is an MRI I had done today in preperation of upcoming treatment.  I hope someone can comment. I wont hold you to it - I am going to see my specialist in a few weeks. 

Also thanks for the Mac tips!  I need all of the help I can get with this thing!!



-- Edited by Caryn on Friday 3rd of August 2012 01:33:44 AM

Attachments
__________________

1a, CT. Incivek triple 1/2013, vl 810 @ 2 weeks, 610 @ 4 weeks, 3000 @ 8 weeks, tx stopped. 

4/2014 - tx with Sovaldi/Olysio/Riba. VL 39 mil. - VL 230 @ 1 week, VL 40 @ 3 weeks, 5 weeks UND, EOT - UND, EOT @ 4 weeks UND, EOT @ 12 weeks UND!



Guru

Status: Offline
Posts: 1077
Date:
Permalink  
 

Malcomb, I will get clarity on 'mildly' chirrosis. With doc saying quit work and retire and mentioning transplant have improved blah, blah!
U r either pregnant or your are not!
I am either cirrhosis or not!
As I believe Tim asked why do we need ultra sound every 6 months from
Here on out.
Thanks for information!
And thank you for your service in Veitnam
JoAnne

__________________

JoAnne

Genotype 1a, Triple therapy w/Invicek started May 19, 2012

DET 4 wk. UND 2,6,12,24 48 treatment. Achieved SVR 2013!



Guru

Status: Offline
Posts: 3398
Date:
Permalink  
 

My final post on this, then I'll get off my soapbox. Liver Biopsy is not an exact science, as the interpretation can depend on the quality of the biopsy specimen, the site of biopsy and the skill of the Histopathologist. However it's the best we have. To give some idea of progression, here are my biopsy results'

History- probably acquired HCV in Vietnam in 1969-70. Routine blood test for Middle East employment in 1981 showed elevated liver enzymes. No symptoms.

Biopsy 1- 6.9.1983 (King's College Hospital london) A0 F0 -Normal

Biopsy 2- 7.4.1990 (Royal Brisbane Hospital) A1 F0-1 Mild inflammation, early portal fibrosis

Biopsy 3- 24.6.1998 (Royal Brisbane Hospital) A2 F2-3 Portal tract inflammation. some periportal and early bridging fibrosis)

This biopsy was reviewed by an eminent Histopathologist when I transferred to Princess Alexandra Hospital on 11.11.1998. His opinion was A2 F3-4 based on the degree of bridging fibrosis.

Fibroscan 3.3.2007 Reading of 30.7 kilopascals (97% chance of cirrhosis)

The slow progression to cirrhosis over ?35 years is fairly typical. Please try to eradicate the virus as early as possible



__________________

Geno 1b, IL28B CT,  x3 prior relapser,  ex-cirrhotic, 75 yo, did 48 weeks with Victrelis/Peg./Riba.  VL 1.28m at start, UNDET. at 8 ,12 ,16 ,24 ,30  and 48 weeks.  EOT 15 Feb 2013 , UNDET. at EOT + 28 weeks. SVR!  Still Undet. at EOT +5 years

Malcolm



Guru

Status: Offline
Posts: 3398
Date:
Permalink  
 

Tim, Liver Imaging in HCV is to detect early HCC. All patients with chronic HCV have an increased risk of HCC, particularly cirrhotics. Ultrasound of the liver is used the most, and should be done every 6 months. In most patients, an adequate study can be performed, providing you use a modern machine, and experienced Technician. Some people are hard to image- often because of e.g. obesity or high diaphragms. I am difficult myself, and although I have been examining myself for 30 years, I am not confident that I can see certain segments. That is why I have a CT or MRI every 6 months.

There will not be any significant changes in the liver appearances until decompensated cirrhosis occurs. My liver looks completely normal on U/S, CT and MR and I have had cirrhosis for probably 10 years.



__________________

Geno 1b, IL28B CT,  x3 prior relapser,  ex-cirrhotic, 75 yo, did 48 weeks with Victrelis/Peg./Riba.  VL 1.28m at start, UNDET. at 8 ,12 ,16 ,24 ,30  and 48 weeks.  EOT 15 Feb 2013 , UNDET. at EOT + 28 weeks. SVR!  Still Undet. at EOT +5 years

Malcolm



Guru

Status: Offline
Posts: 3398
Date:
Permalink  
 

Caryn, I cannot give individual advice. Your ultrasound report shows the limitations of this modality. Apart from the slightly enlarged liver ( which most HCV patients will have) the liver damage has to be severe for it to show on U/S.

FibroSURE and FibroSPECT tests were developed in about 2003 to try to measure fibrosis without liver biopsy. They are used mostly in the USA and measure blood markers. They are fairly accurate in F0-1 and in F4 disease, but not so good in between. Your figure falls into the  F2 to F3 range, but there may be a small percentage of F1 or F4.

In Australia, we have used FibroSCAN since 2006. This uses an ultrasound beam to measure the stiffness of the liver (that more or less relates to fibrosis). Again, this is most accurate in F0-1 or F4 patients. My reading was 30.7 kilopascals in 2008. F4 patients are mostly 17 and above, so I am definitely cirrhotic.



__________________

Geno 1b, IL28B CT,  x3 prior relapser,  ex-cirrhotic, 75 yo, did 48 weeks with Victrelis/Peg./Riba.  VL 1.28m at start, UNDET. at 8 ,12 ,16 ,24 ,30  and 48 weeks.  EOT 15 Feb 2013 , UNDET. at EOT + 28 weeks. SVR!  Still Undet. at EOT +5 years

Malcolm



Guru

Status: Offline
Posts: 940
Date:
Permalink  
 

Malcolm, having been a radiologist- perhaps you could shed light on my gasto doc's comment that [for me] the six month ultrasound they have been doing is mostly to monitor for appearance of cancer, and not particularly to monitor the progress of the HCV.



__________________

"hrsetrdr"=Tim

Treatment halted on Aug.8,2012 due to vision problem.  6 month post tx labs

Aug.2013 SVR

Be strong when you are weak, brave when you are scared, and humble when you are victorious.
- Unknown

 

 



Guru

Status: Offline
Posts: 3398
Date:
Permalink  
 

JoAnne, As you see from my post, there is no such thing as 'mild cirrhosis'. You either have cirrhosis or you don't. ' Early cirrhosis' is another term I see. There is no such animal! On what basis do you have 'mild cirrhosis'? Have you had a biopsy, Fibroscan, or is that just an estimate based on your previous biopsy?. I would ask why such a label has been given to you.

In HCV, fibrosis does increase over time, but the time frame is very variable. Not all patients progress to cirrhosis.



__________________

Geno 1b, IL28B CT,  x3 prior relapser,  ex-cirrhotic, 75 yo, did 48 weeks with Victrelis/Peg./Riba.  VL 1.28m at start, UNDET. at 8 ,12 ,16 ,24 ,30  and 48 weeks.  EOT 15 Feb 2013 , UNDET. at EOT + 28 weeks. SVR!  Still Undet. at EOT +5 years

Malcolm



Guru

Status: Offline
Posts: 1077
Date:
Permalink  
 

OMG I appreciate your knowledge!
We need details. I want as much knowledge as
I can get. We must be proactive in our treatment.
What an asset u r to our formun and
Knowledge of our disease.
I was told 11 years ago I was Stage 1-2
Now I am told I am
Mildly chirrosis and get on medicine and if it
Doesn't work liver transplants have made great advantagements
Blah, blah... That I should retire etc...
Details are wonderful to know!
So...sonogram of liver showed it was working
Properly. I have always been over achiever and one not to go
Slow pace so I figured tired is normal till I started feeling like someone
Was pushing down on the top of my liver.
So I am either: compensated, intermediate or
Decompensated.
???? Well... I went from stage 1-2 to chirrosis
In 11 years.... Not good... Thanking God for
Our wonderful
Opportunity to be cured. I believe in Him!
I just relax and close my eyes and picture medicine healing me.
We are getting better every day and at least
As soldiers fighting this disease we get to fight it in the
Comfort of our homes w friends and our beloved family.
Thank you for so much clarity!!
And fact it can be some what reserved:)
Yay!!!!! JoAnne


__________________

JoAnne

Genotype 1a, Triple therapy w/Invicek started May 19, 2012

DET 4 wk. UND 2,6,12,24 48 treatment. Achieved SVR 2013!



Senior Member

Status: Offline
Posts: 305
Date:
Permalink  
 

Oh Mallani!!  You have just made me a very excited person!  I am going to post my ultrasound results along with my fibroscan results and if you have the time or feel like responding, I would greatly appreciate it!  Here is the ultrasound. I am just noting what is said about my liver on the ultrasound. I read your post below and the information is great. I just want to see what your thoughts are based on these results. 

Ord diag: Hep C W/O hepatic coma

The liver is enlarged with a span of 18.5 cm. The liver is slightly echogenic suggesting fatty infiltration or cirrhotic fibrosis. No focal hepatic lesion is noted. 

Impression: Enlarged echogenic liver suggesting either fatty infiltration or cirrhosis. 

Fibroscan:

 fibrospect 2 index = 59

 Consistent with METAVIR F2-F4

fibrospect 2 index >=59

the chance of your patient having f2-f4 is 83%. the chance of your patient having F0 is 3.8% and the chance of having F1 is 13.2% (this is pretty self explanatory, but wonderng about the accuracy). I have ready that once you get in to 2-4, the accuarcy level drops. 

Please let me know what this means to you. My doctor said based on this, she thought I was between stage 2-3 fibrosis. Do you know how accurate these tests are?  I have never had a biopsy.

Thanks!!



-- Edited by Caryn on Thursday 28th of June 2012 03:29:10 AM

__________________

1a, CT. Incivek triple 1/2013, vl 810 @ 2 weeks, 610 @ 4 weeks, 3000 @ 8 weeks, tx stopped. 

4/2014 - tx with Sovaldi/Olysio/Riba. VL 39 mil. - VL 230 @ 1 week, VL 40 @ 3 weeks, 5 weeks UND, EOT - UND, EOT @ 4 weeks UND, EOT @ 12 weeks UND!



Guru

Status: Offline
Posts: 3398
Date:
Permalink  
 

Glad you can understand it guys. Being a retired radiologist specialising in liver imaging helps. I have been to a lot of Liver Meetings since 1985!



__________________

Geno 1b, IL28B CT,  x3 prior relapser,  ex-cirrhotic, 75 yo, did 48 weeks with Victrelis/Peg./Riba.  VL 1.28m at start, UNDET. at 8 ,12 ,16 ,24 ,30  and 48 weeks.  EOT 15 Feb 2013 , UNDET. at EOT + 28 weeks. SVR!  Still Undet. at EOT +5 years

Malcolm



Guru

Status: Offline
Posts: 940
Date:
Permalink  
 

Malcolm,

thanks for taking the time to bring together the necessary information components, and painting a coherant picture, for what otherwise can be a confusing and intimidating subject.



__________________

"hrsetrdr"=Tim

Treatment halted on Aug.8,2012 due to vision problem.  6 month post tx labs

Aug.2013 SVR

Be strong when you are weak, brave when you are scared, and humble when you are victorious.
- Unknown

 

 



Guru

Status: Offline
Posts: 592
Date:
Permalink  
 

Thank-you Malcolm--this is really great, clear and concise. I have recently been trying to find this info in terms my brain can understand. I am truly grateful to all those on the forum who can interpert medical info--for some reason--I just can't translate all the medical jargon into forms I grasp.

__________________

Diagnosed 1996 genotype 1b VL alot tx starting 12/23/11 Victrelis UND week 8!!! 28 weeks of tx

Completed tx 7/6/12--still UND!!!!



Guru

Status: Offline
Posts: 3398
Date:
Permalink  
 

There appears to be some confusion about cirrhosis. I read posts stating 'Cirrhosis Grade 2 'etc. There are no grades to cirrhosis. Cirrhosis is either compensated , intermediate or decompensated. It is scored using a variety ofclinical and pathology tests, and may be Stage A, B or C ( using the Child-Pugh method). The MELD score is a newer version of this.

HCV causes liver inflammation and fibrosis. The degree of damage can only be assessed by a liver biopsy. The biopsy shows the amount of activity and fibrosis in the liver. It is often reported using the METAVIR score where A is activity and F is fibrosis. A report may read 'A2-F2' . Activity is classed as 0 to 3, and Fibrosis is classed as 0 to 4. Fibrosis Stage 4 (F4) is cirrhosis. Anyone who has a liver biopsy and is told they have Grade 0, 1, 2 or 3 disease, does NOT have cirrhosis.

Sorry if this sounds pedantic but I think it is important that people don't think they are cirrhotic when they are not. The word cirrhosis is scary.

It has become obvious that cirrhotics who can achieve SVR can actually reverse much of the fibrosis and reduce their fibroscan score. Together with the marked reduction of HCC, this is a strong indication for treatment of compensated cirrhotics.



-- Edited by mallani on Wednesday 27th of June 2012 11:33:30 AM

__________________

Geno 1b, IL28B CT,  x3 prior relapser,  ex-cirrhotic, 75 yo, did 48 weeks with Victrelis/Peg./Riba.  VL 1.28m at start, UNDET. at 8 ,12 ,16 ,24 ,30  and 48 weeks.  EOT 15 Feb 2013 , UNDET. at EOT + 28 weeks. SVR!  Still Undet. at EOT +5 years

Malcolm

Page 1 of 1  sorted by
 
Quick Reply

Please log in to post quick replies.

Legal Disclaimer:

THIS FORUM, IT'S OWNERS, ADMINISTRATORS, MODERATORS AND MEMBERS DO NOT AT ANY TIME GIVE MEDICAL ADVICE AND IN ALL CASES REFER ANYONE HERE TO SEEK APPROPRIATE MEDICAL ADVICE FROM THEIR DOCTOR.